Behandlungsergebnisse

Herzlich willkommen zu unserer Galerie mit Vorher-Nachher-Dokumentationen! Hier möchten wir Ihnen einige Behandlungsergebnisse vorstellen, die unsere Patientinnen und Patienten durch ihre kieferorthopädische Behandlung bei uns erfahren haben. Wenn Sie mehr darüber erfahren möchten, wie wir Ihnen helfen können, kontaktieren Sie uns gerne für eine individuelle Beratung. 

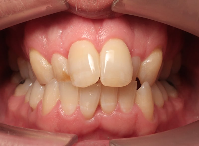
Die 25-jährige Patientin wurde mit Invisalign-Schienen über einen Zeitraum von 16 Monaten behandelt.

Dieses Behandlungsergebnis bei der jugendlichen Patientin wurde in einem Zeitraum von 22 Monaten mit Invisalign-Schienen erreicht.

Die Behandlung bei dem jugendlichen Patienten mit Invisalign-Schienen dauerte 16 Monate.

Der 32-jährige Patient wurde mit Invisalign-Schienen für eine Zeit von 15 Monaten behandelt.

Die 39-jährige Patientin wurde in einem Zeitraum von 16 Monaten mit Invisalign-Schienen therapiert.
Call Now Button